Aree > Ortodonzia

Ortodonzia

Disciplina stomatologica che studia, controlla e cura lo sviluppo dell’occlusione e la sua definizione, unitamente alla crescita maxillo-facciale al fine di rendere l’occlusione stabile in un contesto strutturale armonico e funzionale, migliorando per quando possibile l’estetica del viso.

PRENOTA ORA

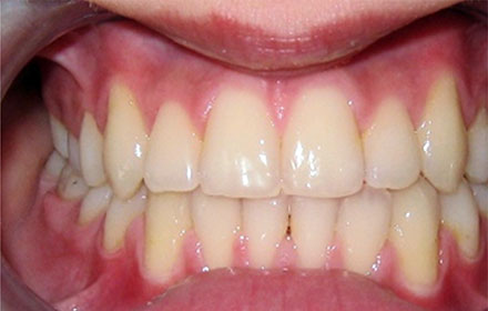
Risoluzione affollamento

PRIMA / DOPO

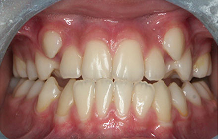
Risoluzione affollamento

PRIMA / DOPO