Aree > Conservativa

Conservativa

Con questo termine identifichiamo tutte le cure necessarie per ripristinare la salute dei denti colpiti da carie. Pulizia, disinfezione nella cavità del dente, asportazione del tessuto malato ed infetto; ricostruzione della sostanza dentale perduta mediante materiale da otturazione.

PRENOTA ORA

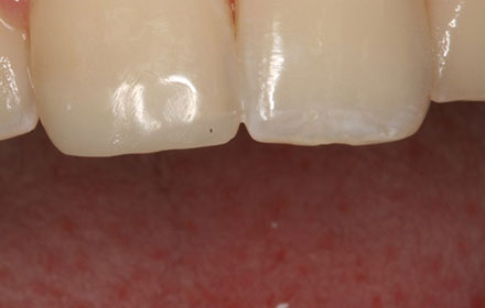
Ricostruzione dente devitalizzato

PRIMA / DOPO

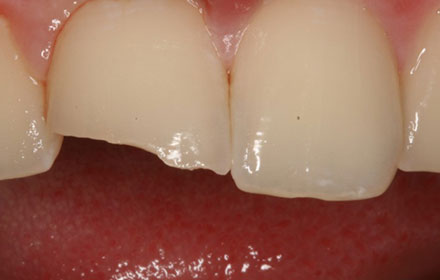
Ricostruzione margine fratturato

PRIMA / DOPO

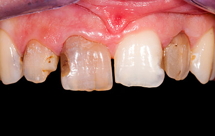
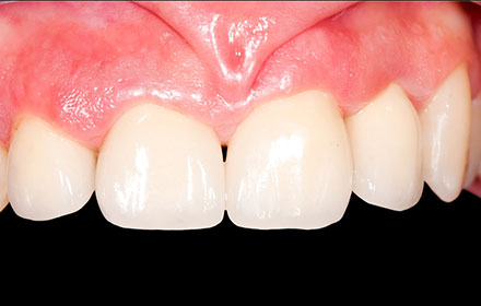
Ricostruzione denti cariati

PRIMA / DOPO